东软医疗HAN-LINK“智”平台:开启介入诊疗AI时代智能新篇章
导读
在全球医疗影像技术迈向智能化、精准化的浪潮中,中国高端医疗设备领域迎来里程碑式突破。近日,东软医疗正式推出全新高端“智”影像技术平台——HAN-LINK。作为国产DSA领域的革新标杆,东软医疗DSA历经五年自主研发与创新突破,联合国内顶尖临床专家团队潜心打磨,以“极致微剂量,高清无妥协”的影像新标准,重新定义介入诊疗的技术边界。
01破局
量子算法重塑影像边界
“影像质量与辐射剂量的矛盾,从此成为历史。”
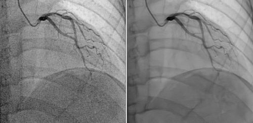
HAN-LINK平台的核心竞争力源于其独创的“智能时空降噪量子态坍缩算法”。该技术通过AI深度学习与量子边缘保护机制,实现了噪声的智能感知与动态消除,将图像信噪比(SNR)和算力提升至行业新高度。其中,依托HAN-LINK平台全新算法,我们在冠脉上实现了全新的冠脉HD4.0版本,该算法采用AI训练的自适应降噪模型,能精准识别并去除噪声,提升影像质量,即使在微剂量模式下,也能提供高清的影像信息,平台可降低80%以上的射线剂量和58%的造影剂用量,同时减少2.7吨铅当量防护废物,在保证影像质量的同时,积极响应全球低碳医疗趋势。



此外,平台还支持与Trumpf 7500外科床的智能联动,并通过“鸿雁5G远程介入指导系统”实现跨地域协作,真正打破时间与空间的诊疗局限。
02融合
一站式智能介入解决方案
“当AI读懂临床需求,每个诊疗环节都将迸发智慧火花。”
东软医疗HAN-LINK平台以“Human-Centered Design”为理念,深度融合AI技术与临床需求,覆盖心脏介入、神经介入、肿瘤介入等五大领域。其高级临床功能模块包括量子DSA、智能语音助手、卓影多模态影像融合、血管全循环彩色影像等,大幅提升手术效率。例如,在神经介入中,平台可实时生成缺血半暗带量化分析,辅助医生在黄金时间内完成决策;在心脏介入中,AI自动分割血管与狭窄测量功能,为支架选型提供精准依据。
03跃升
“智枢”介入大模型构建诊疗决策中枢
“从经验医疗到数据医疗,‘智枢’就是赋予设备智慧的大脑。”
HAN-LINK平台的核心竞争力源于其深度集成的“智枢”介入大模型。该模型基于东软“添翼”大模型架构,融合介入专科知识库和多维度信息,赋能介入设备、精准诊疗和患者服务,重构人机协作模式:
设备智能,安全高效:设备智能助手辅助介入医生实现快速精准患者定位、超低剂量成像,优化术者协作效率与患者诊疗体验。
多维信息,精准评估:多模态影像融合技术结合AI算法,可提供病灶形态、组织功能、代谢等多维度信息,辅助精准介入手术的术前规划、术中导航以及术后评估。
患者服务,全程关爱:通过虚拟现实和数字人构造可智能交互的医患沟通及康复示教场景,让患者服务及时耐心,显著改善患者就医体验。
“HAN-LINK平台的出现不仅是工具的迭代,更是医疗范式的升维——它以量子降噪突破影像极限,用‘智枢’介入大模型重构诊疗逻辑,让‘精准’从理想变为常态,让‘普惠’从口号落地为实践。这是中国医疗从‘经验驱动’迈向‘数据定义未来’的关键一跃。”东软医疗副总裁兼DSA产品事业部总经理黄岩如是说。
04引领
自主创新助力医疗强国
“国产医疗设备的未来,不应只有追赶,更要有定义标准的底气。”从设备端的硬件突破到介入大模型的软件创新,东软医疗正以“硬科技+软实力”双轮驱动,重新定义中国智造的内涵。如今,东软医疗DSA已装机超450台,服务全国40%的三甲医院,复购率超30%,稳居国产DSA品牌首位。在这里,AI不是冰冷的工具,而是医生手中的“超级助手”;辐射剂量与图像质量的矛盾不再是枷锁,而是技术跃迁的基石——当国产DSA设备装上“中国芯”,当基层医院也能开展高难度介入手术,东软医疗正以“技术自立”与“生态共赢”的双重奏,谱写智能医疗时代的中国乐章。而这,或许正是中国从医疗大国迈向医疗强国的最有力注脚。